Midline Shift

Jika kamu sedang mencari Midline Shift, maka anda berada di halaman yang tepat. Kami menyediakan aneka Midline Shift yang bisa anda pesan online. Silakan hubungi kami via +6282245078486, jangan lupa sertakan juka gambar yang diinginkan.

Kami mengirim paket Midline Shift melalui berbagai ekspedisi, misalnya JNE, JNT, POS, dll. Kami juga menerima pembayaran via BCA/Mandiri/dll. Pengiriman biasanya tidak sampai seminggu sudah sampai dan kami sertakan pula nomor resi yang bisa digunakan untuk tracking barang secara online.

midline shift caspersmile

Tidak hanya Midline Shift, anda juga bisa melihat gambar lain seperti Brain Bleed, CT Scan, Subdural Hematoma, Brain Tumor, Midline Shift Brain Injury, Hemorrhagic Stroke, Brain Injuries, CT Scan Sol, Brain Tumour, Cerebral Edema, and 4 Cm.

Berbagai Contoh Midline Shift

Berikut kami sertakan berbagai contoh gambar untuk Midline Shift, silakan save gambar di bawah dengan klik tombol pesan, anda akan kami arahkan pemesanan via WA ke +6282245078486.

ukur midline shift 768×1024

ukur midline shift

Order Sekarang

midline shift caspersmile 853×615

midline shift caspersmile

Order Sekarang

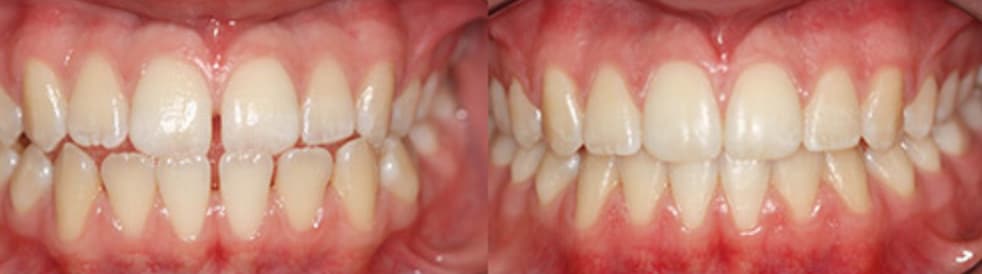
midline shift 505×720

midline shift

Order Sekarang

correct  midline shift  clear aligners aligner 650×450

correct midline shift clear aligners aligner

Order Sekarang

teeth midline shift news dentagama 1624×879

teeth midline shift news dentagama

Order Sekarang

visual midline shift eyetek optometrists 2500×3333

visual midline shift eyetek optometrists

Order Sekarang

midline shift  brain  consequences treatment 1024×585

midline shift brain consequences treatment

Order Sekarang

midline shift ars neurochirurgica 814×918

midline shift ars neurochirurgica

Order Sekarang

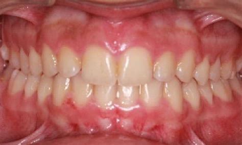
dental midline deviation  treated 800×421

dental midline deviation treated

Order Sekarang

braces correct midline shift carvalho roth orthodontics 982×274

braces correct midline shift carvalho roth orthodontics

Order Sekarang

midline shift brain  symptoms diagnosis treatment 768×316

midline shift brain symptoms diagnosis treatment

Order Sekarang

case  midline shift 500×300

case midline shift

Order Sekarang

call  midline shift 1200×630

call midline shift

Order Sekarang

progression  midline shift trialquest 780×585

progression midline shift trialquest

Order Sekarang

maxillary midline shift orthotown 1200×630

maxillary midline shift orthotown

Order Sekarang

midline shift  defined   distance   abdominal wall 850×752

midline shift defined distance abdominal wall

Order Sekarang

clearcorrect midline shift 547×229

clearcorrect midline shift

Order Sekarang

midline shift  craniotomy  powerpoint acp  powerpoint 1280×720

midline shift craniotomy powerpoint acp powerpoint

Order Sekarang

midline shift  head trauma 2000×1334

midline shift head trauma

Order Sekarang

normal dental midline  dental midline shift 850×359

normal dental midline dental midline shift

Order Sekarang

midline shift  ct head  outcome  scientific diagram 707×894

midline shift ct head outcome scientific diagram

Order Sekarang

considered  large midline shift  stephen jamerson blog 1280×720

considered large midline shift stephen jamerson blog

Order Sekarang

Temukan solusi terbaik untuk kenyamanan ruang Anda dengan Midline Shift! Produk peredam suara dan panas ini menawarkan performa maksimal dengan harga yang terjangkau. Dapatkan kualitas unggul tanpa menguras kantong, dan nikmati suasana tenang serta sejuk di setiap sudut rumah atau kantor Anda. Pilih Midline Shift – pilihan cerdas untuk investasi jangka panjang!

Tidak ada hasil untuk penelusuran kata kunci Midline Shift

NO RESULT FOUND

Maaf, tidak ada yang cocok dengan kriteria yang Anda cari.

Apa yang ingin Anda lakukan?
« kembali ke Beranda atau gunakan kotak pencarian dibawah ini untuk mulai penelusuran baru.

Social Media & Marketplace
Chat via Whatsapp

Ada yang ditanyakan?
Klik untuk chat dengan customer support kami

Raisa
● online
Benu
● online
Raisa
● online
Halo, perkenalkan saya Raisa
baru saja
Ada yang bisa saya bantu?
baru saja
Produk Quick Order

Pemesanan dapat langsung menghubungi kontak dibawah:

Midline Shift

Jika kamu sedang mencari Midline Shift, maka anda berada di halaman yang tepat. Kami menyediakan aneka Midline Shift yang bisa anda pesan online. Silakan hubungi kami via +6282245078486, jangan lupa sertakan juka gambar yang diinginkan.

Kami mengirim paket Midline Shift melalui berbagai ekspedisi, misalnya JNE, JNT, POS, dll. Kami juga menerima pembayaran via BCA/Mandiri/dll. Pengiriman biasanya tidak sampai seminggu sudah sampai dan kami sertakan pula nomor resi yang bisa digunakan untuk tracking barang secara online.

estimation  ventricular  intracranial hemorrhage volumes

Tidak hanya Midline Shift, anda juga bisa melihat gambar lain seperti Brain Bleed, CT Scan, Subdural Hematoma, Brain Tumor, Midline Shift Brain Injury, Hemorrhagic Stroke, Brain Injuries, CT Scan Sol, Brain Tumour, Cerebral Edema, and 4 Cm.

Berbagai Contoh Midline Shift

Berikut kami sertakan berbagai contoh gambar untuk Midline Shift, silakan save gambar di bawah dengan klik tombol pesan, anda akan kami arahkan pemesanan via WA ke +6282245078486.

midline shift brain  symptoms diagnosis treatment 1024×1024

midline shift brain symptoms diagnosis treatment

Order Sekarang

progression  midline shift trialquest 780×585

progression midline shift trialquest

Order Sekarang

midline shift  head trauma 1500×1001

midline shift head trauma

Order Sekarang

considered  large midline shift  stephen jamerson blog 1280×720

considered large midline shift stephen jamerson blog

Order Sekarang

ct head showing  midline shift     scientific diagram 375×375

ct head showing midline shift scientific diagram

Order Sekarang

ct  cerebral lesions  midline shift  scientific diagram 850×847

ct cerebral lesions midline shift scientific diagram

Order Sekarang

ct scan  cranioplasty massive midline shift   brainstem 850×433

ct scan cranioplasty massive midline shift brainstem

Order Sekarang

subdural hematoma  midline shift rradiology 640×890

subdural hematoma midline shift rradiology

Order Sekarang

examples  hemorrhage  midline shift mls   mt scanner 850×201

examples hemorrhage midline shift mls mt scanner

Order Sekarang

0 x 0

Order Sekarang

midline shift   brain  rene ackerman blog 850×504

midline shift brain rene ackerman blog

Order Sekarang

ct reveals   mm midline shift postoperatively   clear 320×320

ct reveals mm midline shift postoperatively clear

Order Sekarang

automated midline shift  intracranial pressure estimation based 600×304

automated midline shift intracranial pressure estimation based

Order Sekarang

ct   head revealing  acute intracranial hemorrhage midline 850×661

ct head revealing acute intracranial hemorrhage midline

Order Sekarang

estimation  ventricular  intracranial hemorrhage volumes 474×266

estimation ventricular intracranial hemorrhage volumes

Order Sekarang

brain bleed brain bleed midline shift 1256×1600

brain bleed brain bleed midline shift

Order Sekarang

figure   brain midline shift detection  quantification 550×562

figure brain midline shift detection quantification

Order Sekarang

ct head showing  absence  intracranial bleeding  midline shift 678×383

ct head showing absence intracranial bleeding midline shift

Order Sekarang

figure    hemorrhage  midline shift   method  tracing 660×668

figure hemorrhage midline shift method tracing

Order Sekarang

figure   automated measurement  midline shift  brain ct 1306×612

figure automated measurement midline shift brain ct

Order Sekarang

bleed   midline shiftsp fall  thinners rradiology 4032×3024

bleed midline shiftsp fall thinners rradiology

Order Sekarang

ct head showing  midline shift   left  scientific diagram 397×397

ct head showing midline shift left scientific diagram

Order Sekarang

brain ct scan demonstrating  midline deviation  scientific 461×542

brain ct scan demonstrating midline deviation scientific

Order Sekarang

outcome prediction  patients  traumatic brain injury based 1020×1355

outcome prediction patients traumatic brain injury based

Order Sekarang

detection  midline shift  ct scans  predict outcome 850×1100

detection midline shift ct scans predict outcome

Order Sekarang

computed tomography showed   hemisphere midline  shifted 850×713

computed tomography showed hemisphere midline shifted

Order Sekarang

intraparenchymal hemorrhage  midline shift 176×176

intraparenchymal hemorrhage midline shift

Order Sekarang

Temukan solusi terbaik untuk kenyamanan ruang Anda dengan Midline Shift! Produk peredam suara dan panas ini menawarkan performa maksimal dengan harga yang terjangkau. Dapatkan kualitas unggul tanpa menguras kantong, dan nikmati suasana tenang serta sejuk di setiap sudut rumah atau kantor Anda. Pilih Midline Shift – pilihan cerdas untuk investasi jangka panjang!